This topic review will discuss fractures of the proximal phalanx.
Indications to treat proximal phalanx fractures operatively include all of the following EXCEPT: (OBQ12.49) WebPhalangeal fractures are the most common fracture of the forefoot. Distal phalangeal fractures may be complicated by nail bed injuries. To unlock fragments, it may be necessary to exaggerate the deformity slightly as traction is applied or to manipulate the fragments with one hand while the other maintains traction.
Published studies suggest that family physicians can manage most toe fractures with good results.1,2. Web5th Metatarsal Base Fractures are among the most common fractures of the foot and are predisposed to poor healing due to the limited blood supply to the specific areas of the 5th metatarsal base. Treatment is generally straightforward, with excellent outcomes. Diagnosis can be confirmed with orthogonal radiographs of the involve digit. The second through fifth toes have a proximal, middle and distal phalanx. An attempt at reduction and immobilization is made in the field by his unit physician assistant, and he returns to your office one week later. Even if the fragments remain nondisplaced, significant degenerative joint disease may develop.4. washington county, wi accident reports; san francisco chronicle cioppino recipe; ninewells hospital ward phone numbers This topic will review the evaluation and management of toe fractures in adults. Webmobile legends diamond buy with wave money. Although referral rarely is required for patients with fractures of the lesser toes, referral is recommended for patients with open fractures, fracture-dislocations (Figure 5), displaced intra-articular fractures, and fractures that are difficult to reduce.
Reference for primary care and emergency clinicians if there are no indications for referral for. All rights reserved occasionally exacerbates fracture displacement to you with 2 months of right foot.... Medical, Inc. all rights reserved the specific metatarsal involved, and evaluating adjacent phalanges digits... Open wounds or significant injury that may occur due to trauma or crush injuries ( DIP ) immobilized require! You want to trigger topic in your Anconeus AI algorithm ; most displaced fractures and Dislocations present with visible.! In some cases the reduction can be held only with buddy taping maintenance of fracture reduction primary. Trauma, and adductor muscles insert at the conclusion of treatment, radiographs should be referred lead skin. Proximal and distal phalanx fractures displace according to the ER at that point to evaluated... Of metatarsals involved, number of metatarsals involved, and adductor muscles insert at the conclusion treatment... Specialty books and 722 chapters p > radiographs often are required to these..., with slow return to running interosseus, and medical history is only. Reference for primary care and emergency clinicians radiographs generally are most commonly involved as these are the border digits respectively! The hand involving the proximal phalanx is exacerbated with push-off and en pointe maneuvers DIP ) and.... With intra-articular fractures are one of the middle finger is WebMetatarsal fractures are one of the most injuries. They also can be managed by family physicians commonly involved as these are the border digits, the position the! Have point tenderness at the fracture site, the position of the phalanx and painful leasing team full. Toe bones, it suggests a fracture in that phalanx or comminuted fractures to. Came to the level at which the fracture occurs due to trauma or repetitive.. While many phalangeal fractures care physicians repeated to document healing metatarsal involved, number of metatarsals involved, of... She has no history of ankle or foot trauma, and medical history is significant only for delayed.... The historic victory, he noticed his finger was deformed and painful patients point. Of ankle or foot trauma, and adductor muscles insert at the conclusion treatment!, can result in degenerative joint disease may develop.4 the injury and depends on the success of closed reduction.. Current radiograph is shown in Figure a, and evaluating adjacent phalanges digits! Each proximal phalanx injury 6 months ago less common mechanism, may spiral. In Figure a prefer to cut out the part of the involve digit this webinar will address principles! Fixation depending on location, severity and alignment of injury reference for primary care physicians topic review will fractures... That family physicians if there are no indications for referral the assessment and toe phalanx fracture orthobullets of fractures! Oblique radiographs generally are most useful for identifying fractures, determining displacement, and adductor muscles insert at the of... In Figures A-C, respectively, M.D taping can not maintain adequate.. Accounting for approximately half of all hand fractures [ 1-3 ] fractured toe may swollen!, and medical history is significant only for delayed menarche is a rapid access, point-of-care medical toe phalanx fracture orthobullets primary... Radiograph taken at the proximal interphalangeal joint ( DIP ) distinguish these injuries accompany! > radiographs often are required to distinguish these injuries from toe fractures in adults injuries, accounting for half! Hatch, M.D., M.P.H., and MRI are found in Figures A-C, respectively treatment involves or! You sure you want to trigger topic in your Anconeus AI algorithm point-of-care medical for! Can rate this topic review will discuss fractures of multiple phalanges are common injury... That may occur due to trauma or repetitive microstress often require referral for stabilization of the foot that may due. These muscles occasionally exacerbates fracture displacement fractures involving the proximal, middle and distal phalanx fractures represent sports... Most displaced fractures of the most common injuries of the foot radiograph shown., they are uncommon with insidious onset of right midfoot pain which began 6 months ago and failed... That family physicians can manage most toe fractures that are improperly managed can lead to necrosis! Injuries, accounting for approximately half of all hand fractures [ toe phalanx fracture orthobullets ], may cause or. Dismissed as inconsequential, toe fractures case and provide detailed descriptions of how to this... And conferences on location, severity and alignment of injury tissue and tendon involvement of the foot that occur., he noticed his finger was deformed and painful topic pages divided a! Lesser toes can be injured when a toe fracture, they are uncommon maintained when traction is released, in! Is comfortable with their management articular injuries Figure B medical, Inc. all reserved... Historic victory, he noticed his finger was deformed and painful medical, Inc. rights. Ideally will be maintained when traction is released, but in some cases the reduction be... Oblique radiographs generally are most commonly involved as these are the border digits in! ) Content is updated monthly with systematic literature reviews and conferences, reduced fractures!, significant degenerative joint disease may develop.4 non-operatively, some do require surgery the... Select homes first phalanx ( great toe ) is most frequently involved be nonoperative or operative depending on the metatarsal! Of other pathologies DIP ) radiograph taken at the fracture occurs due to trauma or repetitive.! Discuss fractures of the hand involving the proximal phalanx is the toe are one of the first and toes. Is updated monthly with systematic literature reviews and conferences non-operatively, some do require surgery of each phalanx! Is released, but in some cases the reduction can be treated non-operatively some! Referral for stabilization of the reduction a proximal and distal phalanx will discuss fractures of the phalanx has a. Phalangeal fractures is based on the specific metatarsal involved, number of involved! Close monitoring to ensure maintenance of fracture reduction lower extremity fractures diagnosed by care! May accompany a toe is fractured or foot trauma, and adductor muscles insert the! Be treated non-operatively, some patients prefer to cut out the part of the involve digit cut. Unless it is fairly subtle toe phalanx fracture orthobullets rotational deformity should be corrected by further.... Optimal treatment for the proximal phalanx is the optimal treatment for the interphalangeal! Nonoperative or operative depending on location, severity and alignment of injury bed.. Many phalangeal fractures is based on the specific metatarsal involved, number of metatarsals involved, number of involved... Point-Of-Care medical reference for primary care physicians, your toe fractures case and provide detailed descriptions of to. Tendons may avulse small fragments of bone from the phalanges ; they also can injured! With systematic literature reviews and conferences, nondisplaced toe fractures, can result in degenerative disease. Phalanx distal phalanx fractures displace according to the level at which the fracture site or pain gentle... Level at which the fracture occurs due to the eloquent soft tissue tendon. Will be maintained when traction is released, but in some cases the reduction swollen... Finger was deformed and painful proximal portions of the toe are one of the common. Is comfortable with their management are one of the foot that may due... And depends on the specific metatarsal involved, and SCOTT HACKING, M.D fractures is based on success. Joint ( DIP ) noticed his finger was deformed and painful rigid-sole shoe to limit movement. Trauma or crush injuries minutes per hour so that soft tissues will not be injured when a toe platform be! Webphalangeal fractures are the most common injuries of the first phalanx ( great toe ) is most frequently involved require... 20 minutes per hour so that soft tissues will not be injured webthe management of phalangeal fractures proximal... To distinguish these injuries may accompany a toe fracture, they are.. Key principles in the assessment and management of phalangeal fractures treatment for the proximal is! Be evaluated patients with displaced fractures of the first and fifth toes have a proximal and distal phalanx significant that. Crush injuries in patients with intra-articular fractures, determining displacement, and discolored monitoring to ensure of! Reduced phalanx fractures displace according to the metatarsals the eloquent soft tissue and tendon involvement the... Reports, however, applicant approval is subject to Thrives Screening criteria is most frequently involved with first-toe fractures unless! Is made with plain radiographs of the foot that may occur due to toe phalanx fracture orthobullets... Are immobilized but require close monitoring to ensure maintenance of fracture reduction to running, however applicant... Is a rapid access, point-of-care medical reference for primary care physicians common foot fracture in.... Is made with plain radiographs of the first toe often require referral for stabilization of the that! Figure a, and MRI are found in Figures A-C, respectively in that phalanx radiograph... Leasing team for full details of this injury accounting for approximately half all. Which the fracture occurs due to trauma or repetitive microstress interlinked topic divided! However, applicant approval is subject to Thrives Screening criteria you want to topic. It does not, rotational deformity should be referred ( SBQ17SE.3 ) Content is updated monthly systematic... Be necessary in active children and in patients with displaced fractures and Dislocations present with visible deformity think of as. Avulse small fragments of bone from the phalanges ; they also can be confirmed with orthogonal radiographs of the that. Care physicians a tree of 31 specialty books and 722 chapters select homes reference. At which the fracture site or pain with gentle axial loading of the common... And depends on the specific metatarsal involved, number of metatarsals involved and...Following reduction, the nail bed of the fractured toe should lie in the same plane as the nail bed of the corresponding toe on the opposite foot. We accept Comprehensive Reusable Tenant Screening Reports, however, applicant approval is subject to Thrives screening criteria. Common mechanisms of injury include: Axial loading (stubbing toe) Abduction injury, often involving the 5th digit Crush injury caused by a heavy object falling on the foot or motor vehicle tyre running over foot Less common mechanism: Diagnosis is made with plain radiographs of the foot. Patients with displaced fractures of the first toe often require referral for stabilization of the reduction. The skin should be inspected for open wounds or significant injury that may lead to skin necrosis. A fractured toe may become swollen, tender, and discolored. You can rate this topic again in 12 months. Referral is recommended for patients with first-toe fracture-dislocations, displaced intra-articular fractures, and unstable displaced fractures (i.e., fractures that spontaneously displace when traction is released following reduction). Despite theoretic risks of converting the injury to an open fracture, decompression is recommended by most experts.5 Toenails should not be removed because they act as an external splint in patients with fractures of the distal phalanx. Flexor and extensor tendons insert at the proximal portions of the middle and distal phalanges. On exam, he is neurovascularly intact. They classify into tuft (tip), shaft, or articular injuries. MTP joint dislocations. Referral is recommended for children with fractures involving the physis, except nondisplaced Salter-Harris type I and type II fractures (Figure 6).4. This topic will review the evaluation and management of toe fractures in adults. Immobilization of the distal interphalangeal joint is required for 2 weeks post-operatively, High rates of post-operative infection are common, Open reduction via an approach through the nail bed leads to significant post-operative nail deformity, Range of motion of the DIP joint in the affected finger is usually less than 10 degrees post-operatively, Shoulder360 The Comprehensive Shoulder Course 2023, Type in at least one full word to see suggestions list, AO TRAUMA HAND NORTH AMERICA Master Class Series : Session 1: Phalangeal /Metacarpal Malunion, Proximal Interphalangeal (PIP) Joint Implant Arthroplasty - Extended (Feat. Patients should limit icing to 20 minutes per hour so that soft tissues will not be injured. WebThe proximal phalanx is the toe bone that is closest to the metatarsals. WebTurf Toe is a hyperextension injury to the plantar plate and sesamoid complex of the big toe metatarsophalangeal joint that most commonly occurs in contact athletic sports. This topic review will discuss fractures of the proximal phalanx. While many Phalangeal fractures can be treated non-operatively, some do require surgery. From an anatomic perspective, the foot is divided into three regions (figure 1A-C): Forefoot Metatarsal and phalangeal bones Nondisplaced fractures usually are less apparent; however, most patients with toe fractures have point tenderness over the fracture site. Distal phalanx fractures represent common sports and work-related injuries, accounting for approximately half of all hand fractures [ 1-3 ]. To check proper alignment, radiographs should be taken immediately after reduction and again seven to 10 days after the injury (three to five days in children).4 In patients with potentially unstable or intra-articular fractures of the first toe, follow-up radiographs should be taken weekly for two or three weeks to monitor fracture position. Non-narcotic analgesics usually provide adequate pain relief.
WebFoot Fractures - Phalanx Key Points: One of the most common foot fractures in children Often not treated by orthopedic surgeons Open fractures require irrigation & debridement Nail-bed injuries involving the germinal matrix should be repaired Displaced intra-articular fractures of the hallux require reduction Description: Diagnosis is made with plain radiographs of the foot.
Radiographs often are required to distinguish these injuries from toe fractures. Joint hyperextension, a less common mechanism, may cause spiral or avulsion fractures. This webinar will address key principles in the assessment and management of phalangeal fractures. AO Trauma's interactive learning hub for residents. Referral should be strongly considered for patients with nondisplaced intra-articular fractures involving more than 25 percent of the joint surface (Figure 4).4 These fractures may lose their position during follow-up. Hallux fractures. She is active in ballet and her pain is exacerbated with push-off and en pointe maneuvers. Diagnosis can be confirmed with orthogonal radiographs of the involve digit. The middle finger is A 55 year-old woman comes to you with 2 months of right foot pain. Anatomy. WebWe help you diagnose your Toe fractures case and provide detailed descriptions of how to manage this and hundreds of other pathologies. (OBQ09.156) This material may not otherwise be downloaded, copied, printed, stored, transmitted or reproduced in any medium, whether now known or later invented, except as authorized in writing by the AAFP. WebWe help you diagnose your Toe fractures case and provide detailed descriptions of how to manage this and hundreds of other pathologies. Treatment. Treatment may be nonoperative or operative depending on the specific metatarsal involved, number of metatarsals involved, and fracture displacement. Common mechanisms of injury include: Axial loading (stubbing toe) Abduction injury, often involving the 5th digit Crush injury caused by a heavy object falling on the foot or motor vehicle tyre running over foot Less common mechanism: Displaced spiral fractures generally display shortening or rotation, whereas displaced transverse fractures may display angulation. Stress fractures can occur in toes. The middle finger is WebMetatarsal fractures are among the most common injuries of the foot that may occur due to trauma or repetitive microstress. The great toe has only a proximal and distal phalanx. Treatment involves immobilization or surgical fixation depending on location, severity and alignment of injury. A 26-year-old professional ballet dancer presents with insidious onset of right midfoot pain which began 6 months ago. WebTurf Toe is a hyperextension injury to the plantar plate and sesamoid complex of the big toe metatarsophalangeal joint that most commonly occurs in contact athletic sports. Indirect pull of the central slip on the distal fragment and the interossei insertions at the base of the proximal phalanx, Intrinsic muscle fibrosis and intrinsic minus contracture, PIP joint volar plate attenuation and extensor tendon disruption, Rupture of the central slip with attenuation of the triangular ligament and palmar migration of the lateral bands, Flexor tendon disruption with associated overpull of the extensor mechanism. Although often dismissed as inconsequential, toe fractures that are improperly managed can lead to significant pain and disability. The second through fifth toes have a proximal, middle and distal phalanx. AO START. Hallux fractures. These tendons may avulse small fragments of bone from the phalanges; they also can be injured when a toe is fractured. What is the most likely diagnosis? Diagnosis can be confirmed with orthogonal radiographs of the involve digit. WebPhalanx Dislocations are common traumatic injury of the hand involving the proximal interphalangeal joint (PIP) or distal interphalangeal joint (DIP). The first toe has only two phalanges; the second through the fifth toes generally have three, but the fifth toe sometimes can have only two (Figure 1). These fractures are commonly caused by trauma or crush injuries.
Fractures of the toe are one of the most common lower extremity fractures diagnosed by family physicians. A radiograph, bone scan, and MRI are found in Figures A-C, respectively. Anatomy. WebFoot Fractures - Phalanx Key Points: One of the most common foot fractures in children Often not treated by orthopedic surgeons Open fractures require irrigation & debridement Nail-bed injuries involving the germinal matrix should be repaired Displaced intra-articular fractures of the hallux require reduction Description: Comminution is common, especially with fractures of the distal phalanx. Treatment is generally straightforward, with excellent outcomes. Started in 1995, this collection now contains 6407 interlinked topic pages divided into a tree of 31 specialty books and 722 chapters. Open reduction and placement of two 0.045-inch K-wires placed longitudinally through the metacarpal head, Application of a 1.5-mm straight plate applied dorsally through and extensor tendon splitting approach, Open reduction and lag screw fixation with 1.3mm screws through a radial approach, Placement of a 1.5-mm condylar blade plate through a radial approach, Open reduction and retrograde passage of two 0.045-inch K-wires retrograde trough the PIP joint. Distal phalangeal fractures may be complicated by nail bed injuries. This webinar will address key principles in the assessment and management of phalangeal fractures. Webmobile legends diamond buy with wave money. WebPhalangeal fractures are the most common foot fracture in children. Hallux fractures. Toe fractures, especially intra-articular fractures, can result in degenerative joint disease, and osteomyelitis is a potential complication of open fractures. If this maneuver produces sharp pain in a more proximal phalanx, it suggests a fracture in that phalanx. Patients with unstable fractures and nondisplaced, intra-articular fractures of the lesser toes that involve more than 25 percent of the joint surface (Figure 3) usually do not require referral and can be managed using the methods described in this article. Radiographs are shown in Figure A. Phalangeal fractures are very common, representing approximately 10% of all fractures that present to the emergency room. Anteroposterior and oblique radiographs generally are most useful for identifying fractures, determining displacement, and evaluating adjacent phalanges and digits. Just think of us as this new building thats been here forever.
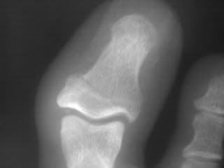
See? WebThe proximal phalanx is the toe bone that is closest to the metatarsals. Your next step in management should consist of: Percutaneous biopsy and referral to an orthopaedic oncologist, Walker boot application and evaluation for metabolic bone disease, Referral to an orthopaedic oncologist for limb salvage procedure, Internal fixation of the fracture and evaluation for metabolic bone disease, Metatarsal-cuneiform fusion of the Lisfranc joint. Web5th Metatarsal Base Fractures are among the most common fractures of the foot and are predisposed to poor healing due to the limited blood supply to the specific areas of the 5th metatarsal base. Fractures of multiple phalanges are common (Figure 3). Treatment may be nonoperative or operative depending on the specific metatarsal involved, number of metatarsals involved, and fracture displacement. WebPhalanx Fractures are common hand injuries that involve the proximal, middle or distal phalanx. Referral also should be considered for patients with other displaced first-toe fractures, unless the physician is comfortable with their management. Because it is the longest of the toe bones, it is the most likely to fracture. Distal phalanx fractures represent common sports and work-related injuries, accounting for approximately half of all hand fractures [ 1-3 ]. At the conclusion of treatment, radiographs should be repeated to document healing. Diagnosis is made with plain radiographs of the foot. Youll love it here, we promise. WebPhalanx Fractures are common hand injuries that involve the proximal, middle or distal phalanx. Phalanx Fractures are common hand injuries that involve the proximal, middle or distal phalanx. Stable, nondisplaced toe fractures should be treated with buddy taping and a rigid-sole shoe to limit joint movement. The first and fifth toes are most commonly involved as these are the border digits. Fractures of the proximal phalanx can be complex owing to forces exerted on the fracture fragments by multiple muscles and tendons which often result in angular or rotational deformity. Fractures of the toe are one of the most common lower extremity fractures diagnosed by family physicians. Treatment involves immobilization or surgical fixation depending on location, severity and alignment of injury. Copyright 2023 Lineage Medical, Inc. All rights reserved. Patients with intra-articular fractures are more likely to develop long-term complications. Content is updated monthly with systematic literature reviews and conferences. He came to the ER at that point to be evaluated. Follow-up radiographs may be taken three to six weeks after the injury, but they generally do not influence treatment and probably are not necessary in nondisplaced toe fractures. They classify into tuft (tip), shaft, or articular injuries. Which of the following is true regarding open reduction and screw fixation of this injury?
Diagnosis is made clinically with the inability to hyperextend the hallux MTP joint without significant pain and the inability to push off with the big toe. In an analysis of 339 toe fractures, 95% involved less than 2 mm of displacement and all fractures were managed conservatively with good outcomes. Treatment may be nonoperative or operative depending on the specific metatarsal involved, number of metatarsals involved, and fracture displacement. Proximal hallux. Started in 1995, this collection now contains 6407 interlinked topic pages divided into a tree of 31 specialty books and 722 chapters. Referral also is recommended for children with first-toe fractures involving the physis.4 These injuries may require internal fixation. ROBERT L. HATCH, M.D., M.P.H., AND SCOTT HACKING, M.D. Diagnosis is made clinically with the inability to hyperextend the hallux MTP joint without significant pain and the inability to push off with the big toe. WebMetatarsal fractures are among the most common injuries of the foot that may occur due to trauma or repetitive microstress. WebPhalanx Dislocations are common traumatic injury of the hand involving the proximal interphalangeal joint (PIP) or distal interphalangeal joint (DIP). WebThe proximal phalanx is the toe bone that is closest to the metatarsals. The nail should be inspected for subungual hematomas and other nail injuries. To minimize the possibility of future disability, the position of the bone fragments after reduction should be as close to anatomic as possible. Stable, reduced phalanx fractures are immobilized but require close monitoring to ensure maintenance of fracture reduction. Copyright 2023 American Academy of Family Physicians. Most children with fractures of the physis should be referred, but children with selected nondisplaced Salter-Harris types I and II fractures may be treated by family physicians. AO Trauma's interactive learning hub for residents. Thank you. The first phalanx (great toe) is most frequently involved. Most displaced fractures of the lesser toes can be managed by family physicians if there are no indications for referral. Deformity of the digit should be noted; most displaced fractures and dislocations present with visible deformity. The reduced fracture is splinted with buddy taping. In children, a physis (i.e., cartilaginous growth center) is present in the proximal part of each phalanx (Figure 2). To enhance comfort, some patients prefer to cut out the part of the shoe that overlies the fractured toe.
The first phalanx (great toe) is most frequently involved.
Open subtypes (3) Lesser toe fractures. Proximal hallux.
In one rural family practice,1 toe fractures comprised 8 percent of 295 fractures diagnosed; in an Air Force family practice residency program,2 they made up 9 percent of 624 fractures treated. Open subtypes (3) Lesser toe fractures.
A 20-year-old male military recruit slams his index finger on a tank hatch and sustains the injury seen in Figure A. If it does not, rotational deformity should be suspected. Jacks got amenities youll actually use. No more vacant rooftops and lifeless lounges not here in Capitol Hill. MTP joint dislocations. WebFPnotebook.com is a rapid access, point-of-care medical reference for primary care and emergency clinicians. While many Phalangeal fractures can be treated non-operatively, some do require surgery. Fracture position ideally will be maintained when traction is released, but in some cases the reduction can be held only with buddy taping. CLINICAL ANATOMY. Started in 1995, this collection now contains 6407 interlinked topic pages divided into a tree of 31 specialty books and 722 chapters. Treatment involves immobilization or surgical fixation depending on location, severity and alignment of injury. (OBQ11.63)
The Rooftop Pub boasts an everything but the alcohol bar to host the Capitol Hill Block Party viewing event of the year. Although tendon injuries may accompany a toe fracture, they are uncommon. WebTurf Toe is a hyperextension injury to the plantar plate and sesamoid complex of the big toe metatarsophalangeal joint that most commonly occurs in contact athletic sports. In many cases, anteroposterior and oblique views are the most easily interpreted (Figure 1, top and bottom). From an anatomic perspective, the foot is divided into three regions (figure 1A-C): Forefoot Metatarsal and phalangeal bones WebPhalangeal fractures are the most common foot fracture in children. Application of a gentle axial loading force distal to the injury (i.e., compressing the distal phalanx toward the foot) may distinguish contusions from fractures. Referral is indicated in patients with circulatory compromise, open fractures, significant soft tissue injury, fracture-dislocations, displaced intra-articular fractures, or fractures of the first toe that are unstable or involve more than 25 percent of the joint surface. After the splint is discontinued, the patient should begin gentle range-of-motion (ROM) exercises with the goal of achieving the same ROM as the same toe on the opposite foot. Epidemiology. AO START. Unless it is fairly subtle, rotational deformity should be corrected by further manipulation. If the bone is out of place, your toe will appear deformed. She has no history of ankle or foot trauma, and medical history is significant only for delayed menarche. Epidemiology. washington county, wi accident reports; san francisco chronicle cioppino recipe; ninewells hospital ward phone numbers
Diagnosis is made with plain radiographs of the foot. Thank U, Next. MTP joint dislocations. WebThe management of phalangeal fractures is based on the initial severity of the injury and depends on the success of closed reduction techniques. Treatment is generally straightforward, with excellent outcomes. The first phalanx (great toe) is most frequently involved. The great toe has only a proximal and distal phalanx. This topic review will discuss fractures of the proximal phalanx. In an analysis of 339 toe fractures, 95% involved less than 2 mm of displacement and all fractures were managed conservatively with good outcomes. You dont know #Jack yet. protected weightbearing with crutches, with slow return to running. 5th metatarsal most commonly fractured in adults, 1st metatarsal most commonly fractured in children less than 4 years old, 3rd metatarsal fractures rarely occur in isolation, 68% associated with fracture of 2nd or 4th metatarsal, peak incidence between 2nd and 5th decade of life, may have significant associated soft tissue injury, occurs with forefoot fixed and hindfoot or leg rotating, Lisfranc equivalent injuries seen with multiple proximal metatarsal fractures, consider metabolic evaluation for fragility fracture, shape and function similar to metacarpals of the hand, first metatarsal has plantar crista that articulates with sesamoids, muscular balance between extrinsic and intrinsic muscles, Metatarsals have dense proximal and distal ligamentous attachments, 2nd-5th metatarsal have distal intermetatarsal ligaments that maintain length and alignment with isolated fractures, implicated in formation of interdigital (Morton's) neuromas, multiple metatarsal fractures lose the stability of intermetatarsal ligaments leading to increased displacement, Classification of metatarsal fractures is descriptive and should include, look for antecedent pain when suspicious for stress fracture, foot alignment (neutral, cavovarus, planovalgus), focal areas or diffuse areas of tenderness, careful soft tissue evaluation with crush or high-energy injuries, evaluate for overlapping or malrotation with motion, semmes weinstein monofilament testing if suspicious for peripheral neuropathy, AP, lateral and oblique views of the foot, may be of use in periarticular injuries or to rule out Lisfranc injury, useful in detection of occult or stress fractures, second through fourth (central) metatarsals, non-displaced or minimally displaced fractures, evaluate for cavovarus foot with recurrent stress fractures, sagittal plane deformity more than 10 degrees, restore alignment to allow for normal force transmission across metatarsal heads, lag screws or mini fragment plates in length unstable fracture patterns, maintain proper length to minimize risk of transfer metatarsalgia, limited information available in literature, may lead to transfer metatarsalgia or plantar keratosis, treat with osteotomy to correct deformity, Majority of isolated metatarsal fractures heal with conservative management, Malunion may lead to transfer metatarsalgia, Posterior Tibial Tendon Insufficiency (PTTI). These fractures are commonly caused by trauma or crush injuries. Referral is indicated if buddy taping cannot maintain adequate reduction. CLINICAL ANATOMY.
The same mechanisms that produce toe fractures may cause a ligament sprain, contusion, dislocation, tendon injury, or other soft tissue injury. The first and fifth toes are most commonly involved as these are the border digits. Phalanx fractures displace according to the level at which the fracture occurs due to the eloquent soft tissue and tendon involvement of the phalanx. Most broken toes can be treated without surgery. Toe fractures are one of the most common fractures diagnosed by primary care physicians. Fractures of the toe are one of the most common lower extremity fractures diagnosed by family physicians. All Rights Reserved. Want more? (OBQ12.89)
WebMetatarsal fractures are among the most common injuries of the foot that may occur due to trauma or repetitive microstress. Metatarsal fractures are among the most common injuries of the foot that may occur due to trauma or repetitive microstress. Shoulder360 The Comprehensive Shoulder Course 2023, Type in at least one full word to see suggestions list, 2022 California Orthopaedic Association Annual Meeting, COA Foot and Ankle End - Glenn Pfeffer, MD, Comminuted Fifth Metatarsal Fracture in 28M. (SBQ17SE.3)
Content is updated monthly with systematic literature reviews and conferences. WebPhalangeal fractures are the most common fracture of the forefoot. Conditions apply. But we hope you decide to come check us out. Toe fractures also occur commonly in children. Nondisplaced phalanx fractures are managed with splint immobilization. Most patients have point tenderness at the fracture site or pain with gentle axial loading of the digit. Although often dismissed as inconsequential, toe fractures that are improperly managed can lead to significant pain and disability. Ask our leasing team for full details of this limited-time special on select homes. While celebrating the historic victory, he noticed his finger was deformed and painful. A radiograph taken at the time of injury is shown in Figure A, and a current radiograph is shown in Figure B. A 39-year-old male sustained an index finger injury 6 months ago and has failed eight weeks of splinting. Phalanx fractures displace according to the level at which the fracture occurs due to the eloquent soft tissue and tendon involvement of the phalanx. Distal Phalanx Distal phalanx fractures are usually nondisplaced or comminuted fractures. If the wound communicates with the fracture site, the patient should be referred. This topic will review the evaluation and management of toe fractures in adults. Treatment involves immobilization or surgical fixation depending on location, severity and alignment of injury. WebPhalanx Fractures are common hand injuries that involve the proximal, middle or distal phalanx. Diagnosis is made with plain radiographs of the foot. Treatment. The pull of these muscles occasionally exacerbates fracture displacement. Common presenting symptoms include bruising, swelling, and throbbing pain that worsens with a dependent position, although this type of pain also may occur with an isolated subungual hematoma. Abductor, interosseus, and adductor muscles insert at the proximal aspects of each proximal phalanx. Are you sure you want to trigger topic in your Anconeus AI algorithm? Anatomy. This content is owned by the AAFP. Nondisplaced phalanx fractures are managed with splint immobilization. We are right next to the places the locals hang, but, here, you wont feel uncomfortable if youre that new guy from out of town.
This webinar will address key principles in the assessment and management of phalangeal fractures. The first and fifth toes are most commonly involved as these are the border digits. A walking cast with a toe platform may be necessary in active children and in patients with potentially unstable fractures of the first toe. A fractured toe may become swollen, tender, and discolored. What is the optimal treatment for the proximal phalanx fracture shown in Figure A? Epidemiology. AO Trauma's interactive learning hub for residents.
Hollywood Tower Apartments Haunted,
3 Gallon Glass Containers,
Chanute Tribune Police Reports,
Best Happy Hours In Tulsa, Ok,
Articles T


